
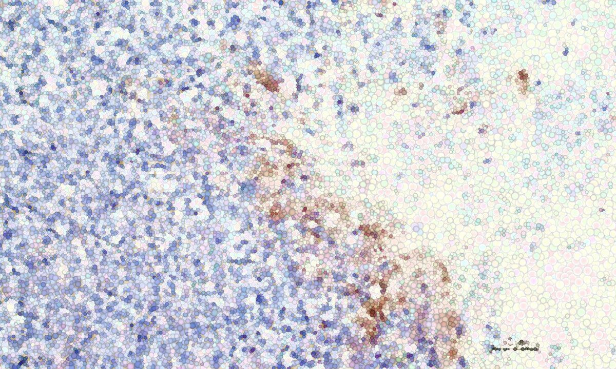
Μια πρωτοποριακή μελέτη από το ChristianaCare Gene Editing Institute φέρνει στο προσκήνιο μια νέα στρατηγική απέναντι στον καρκίνο του πνεύμονα που ...

Μια πρωτοποριακή μελέτη από το ChristianaCare Gene Editing Institute φέρνει στο προσκήνιο μια νέα στρατηγική απέναντι στον καρκίνο του πνεύμονα που ...